『歯周疾患について』

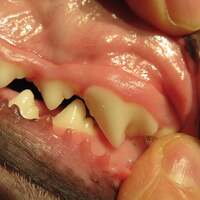
  最近、ワンちゃんや猫ちゃんの歯が気になっています  診察の時、必ず、みんなの口の中をみます  歯肉や舌の血色の状態  歯石の付着程度、歯肉炎、口内炎の有無…