LIVE IN THE MOMENT
id:imassa
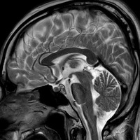
脳検査の結果が返ってきました【頭部MRI、MRA、頚部MRA】
脳検査の結果が返ってきました。 結果は・・・。