Mr.小太郎
id:mrkotaro
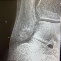
折れていました
朝さんぽで足を捻ったよっぴ〜あまりにも痛いので病院へ捻挫と思っていたら くるぶしの骨にヒビが。。。😭😭😭全治3ヶ月ではおいしいごはんも朝さんぽもしばらくおあずけブログの更新がゆっくりになると思いますすみません🙇♀️ ランキング参加中ライフスタイル ランキング参加中gooからきました