歯の根の治療(根管治療) | 西大路御池駅前の歯科医院|西大路御池デンタルクリニック|土曜も19時まで診療

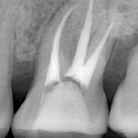
むし歯菌に侵された歯の根管という部分の治療を行います。感染部分の除去や洗浄・消毒など、丁寧な治療が必要になるため時間がかかりますが、歯を長く残すための重要な治療です。