鹿児島認知症ブログ
id:takapisatakapisa
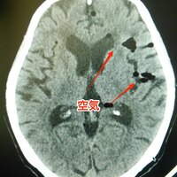
タップテスト(髄液排除試験)後に頭痛の訴えあり。何が起きたのか?
タップテスト(髄液排除試験)とは? タップテストとは、腰椎穿刺(腰椎の隙間から針を差し込む検査)を行い、脳脊髄液を採取する検査のことである。 髄膜炎や神経変性疾患が疑われる場合に行われるが、正常圧水頭症が疑われる場合には、脳脊髄液を抜いて症状が改善するかを観察する。 脳神経外科や神経内科領域においては、最…